Zum Hauptinhalt springen

Zahnkorrektur ohne lange Anfahrt – einfach bei deinem Zahnarzt vor Ort

Nicht lange suchen, keine lange Anfahrt: Professionelle Zahnkorrektur bei deinem Zahnarzt vor Ort

Gerade Zähne ganz einfach in deiner Nähe: Mehr als 5.000 Praxen in ganz Deutschland bieten bereits Zahnkorrektur mit der Harmonieschiene® von Orthos an. Selbstverständlich kannst du auch beim Zahnarzt deiner Wahl die Behandlung mit dem erprobten Aligner-System HarmonieSchiene durchführen lassen. Frag einfach bei deinem nächsten Termin nach Zahnkorrektur mit der unsichtbaren HarmonieSchiene oder schau nach, ob dein Zahnarzt schon dabei ist.
Was funktioniert die HarmonieSchiene® von Orthos?
Mit der durchsichtigen Zahnschiene können Zahnfehlstellungen schnell und einfach korrigiert werden. Dein Zahnarzt begleitet dich professionell durch die komplette Behandlung und überprüft dabei jeden Schritt – damit du bald mit deinem neuen Lächeln strahlen kannst!

 

Kann ich die Korrektur mit Zahnschienen nicht auch online durchführen?
Viele Hersteller bieten die Zahnkorrektur per Fernbehandlung an. Das klingt bequem, doch dabei kann im wahrsten Sinne viel schief gehen. Für eine umfassende Diagnose vor Behandlungsbeginn und die regelmäßigen Kontrollen der Aligner-Therapie sind persönliche Besuch bei deinem Zahnarzt vor Ort unabdingbar. Das bestätigt auch die Bundeszahnärztekammer, die von Online-Behandlungen abrät. Die Behandlung mit der unsichtbaren Harmonieschiene® von Orthos gibt es nur in Kooperation mit einem Zahnarzt in deiner Nähe – vom ersten Abdruck bis zur Erfolgskontrolle wird die Zahnkorrektur sicher und professionell begleitet. Wir von Orthos arbeiten bereits mit 5.000 Praxen deutschlandweit zusammen und konnten bereits über 35.000 Patienten ein neues Lächeln mit geraden Zähnen auf’s Gesicht zaubern.
Und wenn mein Zahnarzt keine Partnerpraxis von Orthos ist?
Kein Problem! Sprich deinen Zahnarzt einfach auf die Zahnkorrektur mit der Harmonieschiene® von Orthos an und überreiche diese Kurzinfo an das Praxisteam. Als nächsten Schritt kann er sich mit dem Orthos Fachberatern in Verbindung setzten und die Schienentherapie besprechen. So bist du auf jeden Fall in den besten Händen deiner Wahl!

Zahnärzte in deiner Nähe

MOD_ORTHOSDOCTORS_ALERT_TITLE

MOD_ORTHOSDOCTORS_ALERT_MESSAGE

    Vor Beginn der Behandlung erhältst du eine 3D Simulation, die dir zeigt, wie deine Zähne nach der Behandlung aussehen werden. 

    Glückliche HarmonieSchiene® Patienten

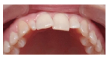
    • Korrekturen:
      Auflösen der Frontengstände
      in Ober- und Unterkiefer; Ausformen beider Fronten
    • Dauer:
                7 Monate
    • Paketpreis:
       Oberkiefer 1.398,- € + Unterkiefer + 498,- €* inkl. Mehrwertsteuer
      *zzgl. Zahnarzthonorar

    Weitere erfolgreiche Beispiele

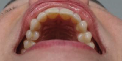
    • Korrekturen:
      Auflösen der Frontengstände in Ober- und Unterkiefer, Ausformen beider Fronten
    • Dauer:
                   4,5 Monate
    • Preis:
       Oberkiefer 1.836,-- € + Unterkiefer + 498,-- € inkl. Mehrwertsteuer*
      *zzgl. Zahnarzthonorar

    • Korrekturen:
      Approximale Schmelzreduktion (ASR) im Oberkiefer; Auflösen der Frontengstände in Oberkiefer, Ausformen der Oberkiefer
    • Dauer:
                   4 Monate
    • Preis:
       Oberkiefer 1098,-- € inkl. Mehrwertsteuer*
      * zzgl. Zahnarzthonorar

    ©2026 Orthos Fachlabor für Kieferorthopädie GmbH & Co KG.